消融技术尤其是微波消融,能有效地消融较大的肿瘤。
年长病人常说,人老了,即使患有肿瘤也很怕动手术,长者宁愿承受痛苦也不要动手术。最近遇见了患有慢性肾病的80余岁的老翁,虽然还没有严重到需要洗肾,但所有事情还是须慎重。
东南亚原发性肝癌极为普遍
在一次肾科医生的例行检查时,老翁的腹部超声波检测出他的左肝有一个硬块,面积约3厘米。老翁常年患有三高(高血压、高血糖及高血脂),累积下来的便是脂肪肝。脂肪肝在早期如没有好好照料,长年累月的肝细胞慢性发炎,二三十年后的结果便是肝硬化。当检查测出肝有硬块,而且又有肝硬化,这意味着老翁患有恶性肝肿瘤的可能性颇高!恶性肝肿瘤有不同的归类,最常见的是肿瘤转移至肝脏(Liver Metastasis),肿瘤的源头可来自直肠结肠癌、胃癌、胰腺癌等。在我国,由于东南亚及东亚国家是乙型肝炎病毒潜伏的地方,原发性肝癌(Primary Hepatocellular Carcinoma)也非常常见。另外,原发性恶性肝肿瘤还包括肝内胆管细胞癌等。
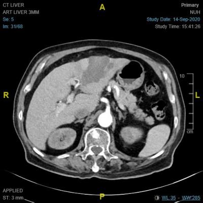
当然,对病人来说,在肝脏里发现硬块都不会是好消息。肾科的同事迅速联络我,看看是否可以尽早会诊。如果要通过正常管道安排门诊,可能须等上两周至一个月。面对患有肿瘤的病人,我们通常都会尽快安排以便提早治疗。由于超声波只是初步检查,他必须做更详细的扫描。我们马上安排了电脑断层扫描,但是老翁的慢性肾病必须加以关注,他入院吊了点滴,做了扫描。入院时,老翁有一女士陪伴。切问之下,女士是老翁友人,对他的病情非常了解,也对他照顾有加。扫描结果确诊了,老翁患有原发性肝癌(图A)。面对确诊结果,两人非常坦然,询问了治疗的选择。

腹腔镜肝肿瘤微波消融术
原发性肝癌的治疗有很多种,可分为两大类:可治愈方针(Curative treatment)与暂缓性方针(Palliative treatment)。
前者包括手术局部切除肝脏(Partial liver resection)、肝移植(Liver transplantation)或肝消融(Liver ablation)治疗,后者又有肝化学栓塞治疗(Chemoembolization)、肝内放射治疗(Selective internal radiation therapy)、化疗、免疫治疗及临终关怀治疗等。
我们会通过各种资料以及病人的身体状况拟定适合的方案治疗。同时,病人也须配合我们,治疗才会事半功倍。老翁的年纪加上身体许多的慢性病及肾病,让我们断定了较保守的治疗。其实他的肝功能还是不错的,被评估为Child's A级,要切除是可以的。病人及友人进一步问道,有更低风险的吗?
肿瘤的位置非常靠近胃部,如果要通过放射介入(Interventional radiology)的方式来消融(Ablation)这肿瘤,伤到胃的可能性高。但如果可以通过腹腔镜进行消融治疗,我们便可以在消融时,将胃暂时隔离从而避免伤及胃部。消融技术也有巨大进展,目前可分为射频消融术、微波消融术等,尤其是微波消融,近两年来的新进技术,能有效地消融较大的肿瘤。我们选择做腹腔镜肝肿瘤微波消融术(Laparoscopic micave ablation of liver)。

我们安排老翁入院治疗。麻醉后,我们在他的肚脐开了个1厘米的小洞,放入腹腔镜后,通过腹腔超声波确定肿瘤的位置,面积及周边的胆管血管等,并从肚皮植入微波消融的仪器(直径大约3毫米)。
由于肿瘤不是正圆形,我们做了两三次的消融治疗以确保治疗完整。手术非常顺利,一小时后大功告成。术后,病人恢复非常快,除了慢性肾病造成术后几天的呼吸不顺畅,伤口及肝功能完全无恙!
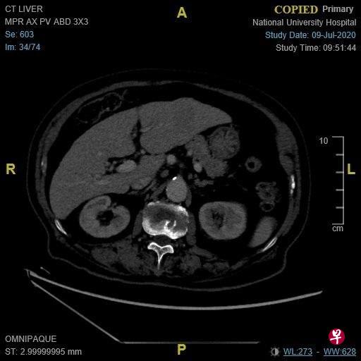
上星期,病人及友人来复诊,他行动自如,声音响亮,中气十足。我们也安排了扫描检查肝肿瘤治疗后的成果,肿瘤已经完全消灭(图B),可喜可贺!病人的友人非常激动,走出门诊室后,又再次折返鞠躬道谢!真令人感动。
专科医生对肿瘤的治疗方案当然了如指掌,但是我们也必须对每个病人的身体特性、健康状况以及个人意愿来拟定治疗方案。即使有再好的治疗,但是如果病人的肿瘤已经到了晚期,我们也回天乏术。反之,有再好的治疗,但是医生无法得到病人的同意及配合,也于事无补。
医生的责任必须是,适当地引导病人做出最正确的选择,然后尽最大努力确保治疗顺利。医生不是神,我们只能尽力帮忙病人,医患之间的微妙关系必须建立在信任之上。

