专科医生指出,这其实与一般病毒入侵肺部的情况相似,多数冠病病患的肺部功能最后都能完全恢复。不过年长和慢性疾病病患要格外留心,因为他们病情加剧的风险较高,即便病愈,肺部可能因受损而留下后遗症。
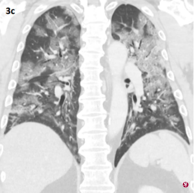
本地医疗报告首次公开2019冠状病毒疾病病患的肺部扫描影像,显示患者肺部出现形同“碎石路”的不规则阴影。
受访专科医生指出,这其实与一般病毒入侵肺部的情况相似,而多数冠病病患的肺部功能最后都能完全恢复。不过,年长和慢性疾病病患要格外留心,因为他们病情加剧的风险较高,即便病愈,肺部可能因受损而留下后遗症。
来自樟宜综合医院的研究团队日前针对本地冠病病患的肺部造影(imaging)进行分析,研究报告于本月初在《新加坡医疗期刊》上发表。
报告首次公开本地一名53岁冠病病患的胸部X光和电脑断层扫描(又称CT扫描)影像,显示他入院初期肺部出现磨玻璃影(ground-glass opacities),部分阴影更遮盖了血管。此外,病患肺部的小叶间隔增厚,形成网状细线,重叠于磨玻璃影上看似“碎石路”(crazy paving)。
安微尼亚山医药中心呼吸道及加护病学专科张耀光高级顾问医生受访时解释,这样的阴影常见于一般病毒入侵肺部初期,包括由冠状病毒引发的非典型肺炎,而这对肺部的损害程度因人而异。
他说:“只有不到一成的冠病病患会出现严重症状,须靠仪器呼吸长达一两周,也可能出现重复感染(superimposed infection)。这种情况对肺部的影响就会比较严重。”
肺部损伤程度不超过五成多数病患可痊愈
至于病患的康复程度则取决于个人健康状况和免疫力。一般上,只要病患的肺部损伤程度没有超过五成,多数人都能顺利痊愈,只是运动时可能较容易喘不过气。
不过,对于上了年纪,有抽烟习惯或有慢性病的病患而言,病情加剧的风险较高。张耀光说:“如果肺部受感染情况严重,就比较有可能留下后遗症,不仅肺功能受损,也可能再度患上肺炎,或者支气管炎。”
鉴于2019冠状病毒与2003年席卷全球的沙斯病毒在基因上有关联,两者都有可能严重伤肺。若与一般流感相比,冠状病毒可造成的伤害自然更大,更何况目前尚没有任何保证有效的医治方法。
不过,近日曾为三名病患确诊冠病的张耀光也指出,冠状病毒入侵肺部的情况其实并不常见,多数病患只有轻微的咳嗽、发烧等症状。“如果病患病情稳定,X光检查结果没有异常,一般会接受隔离观察,直至证实体内没有病毒为止。”

