约有三成的40岁以上男人,可能患有阻塞性睡眠呼吸暂停综合征。
什么是阻塞性睡眠呼吸暂停综合征(obstructive sleep apnea,简称OSA)呢?通俗地说,就是在睡眠时发生的呼吸暂停现象。新加坡中央医院耳鼻喉外科高级顾问医生兼睡眠失调组组长卓颂达指出,年龄40岁以上的男士,约有三成可能患有这种与打鼾有关的病症,女士也会患这种病,只是病例少些。

“女性停经后,肌肉组织松弛,患上阻塞性睡眠呼吸暂停综合征的概率也提高。”
一晚呼吸暂停30次
呼吸暂停的定义是:口和鼻的气流停止10秒以上为一次呼吸暂停,在一夜七个小时的睡眠中,呼吸暂停发生30次以上或睡眠呼吸紊乱指数超过五次以上。
卓医生补充说,睡眠打鼾并不意味着就患上这种综合征,其他症状还包括,由于晚上睡不好引起白天嗜睡,身体常感乏力,记忆力减退,工作能力下降和生活质量严重下降。
他指出,阻塞性睡眠呼吸暂停综合征会导致体内缺氧和二氧化碳堆积而引起一系列病理改变,如未能获得有效治疗,患者可能会患上以下疾病的风险提高:高血压、心脏病发作、心律失常、猝死、过早死亡、中风、抑郁症、易怒和性欲下降等。
常见病因
卓颂达医生说,导致阻塞性睡眠呼吸暂停综合征的常见原因,是上呼吸道器官的结构异常。涉及的部位包括:

·口咽部:软颚肥厚,扁桃腺肥大或舌根肥大。
·下咽部:舌扁桃体肥大,喉软骨软化。
·鼻子:鼻甲肥大,鼻中隔歪曲,鼻息肉。卓医生说:“遗传因素也不少见。遗传倾向造成的面部和下颚畸形是已知的易患病因素。”
罕见病因
卓颂达医生透露,导致阻塞性睡眠呼吸暂停综合征的原因还有一些是较罕见的如下:
·上呼吸道生肿瘤:肿瘤无论良性或恶性,越长越大后,都会导致呼吸困难,睡眠时便容易出现窒息现象。

·扁桃腺癌:一般只在一边的腺体发生,会造成睡眠呼吸困难。
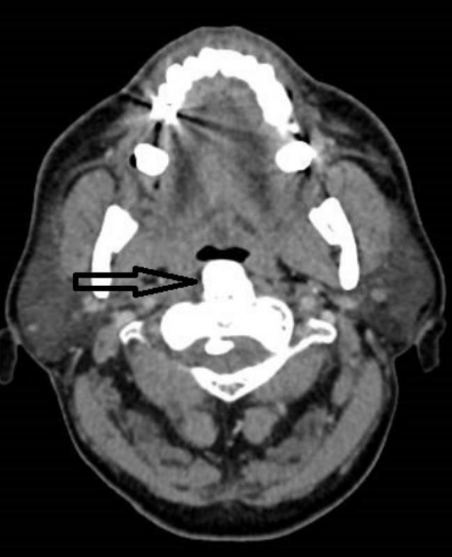
·甲状腺隐藏在舌根里:甲状腺在发育过程中未下降到颈项前的正常位置,而出现于其他部位,称为异位甲状腺。这是一种罕见的胚胎发育异常疾病。甲状腺最常隐藏的部位是舌根中线区,女性多于男性。
如果男女到了十七八岁,甲状腺还未下降到颈项前,睡觉时就容易引发窒息。治疗法是割除甲状腺,病人过后可口服甲状腺素片发挥甲状腺功能。
·声带的喉返迷走神经线受损:由于手术或其他原因,导致声带麻痹,睡觉时声带口不能正常打开,上呼吸道变狭窄,呼吸便困难。治疗法包括扩张气管,割除部分声带等。甲状腺手术伤及声带喉返迷走神经线的风险相当高,不易避免。

·颈椎生过多骨刺:颈椎骨刺长太多,会导致上呼吸道变窄,睡眠时呼吸不通畅。医生会切掉骨刺,缓解睡眠时的呼吸困难。
治疗方法
卓颂达医生说,病情较轻的阻塞性睡眠呼吸暂停综合征患者,通过减轻体重,避免饮酒或服用其他药物,并以药物治疗鼻充血症状,或许能缓和症状。
“对于病情严重者,医院会安排多组医生一起诊断,并制定最恰当的医疗方案。涉及的专科包括耳鼻喉、胸腔、牙科和精神科。”
卓医生说,病人的治疗选项包括使用持续呼吸道正压通气器(Continuous Positive Airway Pressure machine,简称CPAP)通过鼻罩或面罩输送氧气。呼吸器会制造一股气流支柱,以保持使用者睡眠时呼吸道空气畅通。
“这种仪器经过不断改良,病人使用起来的感觉已越来越舒服。”他补充说,只要遵照指示使用,已证实确能减轻病情对健康的不良影响。
卓医生说,有些病人会选择手术治疗。目前有几种针对软颚、鼻部和舌根的治疗选项。
大部分治疗是针对软颚;肥大的鼻甲也可利用射频加以缩减或切除;如果是鼻中隔歪曲,便需要手术矫正;此外,肥大的舌根和舌扁桃体也可通过手术改善病情。
“这些部位的阻塞情形视严重程度而定,可采用多种不同方法治疗。”卓颂达医生说,手术治疗不一定能彻底治愈阻塞性睡眠呼吸暂停综合征,病情还有复发的可能性。
(系列之五)

