又一起狮城客在异乡遇车祸事故!狮城一家五口到台中游玩,乘坐的德士和拖斗车相撞,53岁狮城男抛飞车外,三根肋骨及右腿股骨骨折、肝脏撕裂。
这起车祸发生在12月20日,地点是台中景点高美湿地附近的临港路7段与三美路路口。

从事建筑业的王先生(53岁)上个月17日带着妻子、儿子、岳父及岳母到台湾自助旅行7天,一路从台北游玩到台中。事发当天,一行人乘搭七人座德士到台中著名景点高美湿地赏日落,岂料却在距离高美湿地15分钟车程的路段遇上车祸。
德士车尾右侧和一辆拖斗车撞上,坐在尾端右侧的王先生当场飞出车外,当下头破血流,家人立即召唤救护车,将他送到台中光田综合医院大甲分院急诊部门。

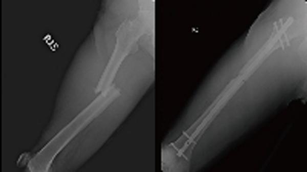
据台中光田综合医院昨天发出的文告,王先生送院诊断后,医生发现他有三根肋骨骨折、右腿股骨骨折、肝脏也有撕裂伤且腹腔出血。经外科、胸腔外科及骨科的共同治疗下,手术缝合额头伤口、股骨微创骨折复位固定,并给予输液、输血后病况稳定。
王先生回忆起事发经过仍心有余悸,他说当时,自己坐在最后一排后座,正睡着,突然猛烈的撞击将他震醒。
“我醒来就已经被抛飞出车外,额头撕裂满脸是血、全身疼痛,幸好救护车及时来到送院治疗,否则后果不堪设想。

据悉,同行的另三人在上个月22日按原定计划回返我国。医生考虑到飞机舱压,建议王先生手术后留台休养一周。王先生在住院超过10天后,化险为夷,昨在妻子的陪同下回国。
完整报道,请翻阅2018年1月3日的《新明日报》。
