如何诊断类风湿性关节炎?类风湿性关节炎和骨关节炎是否类似?《新明日报》《活得好》请专科医生解析。
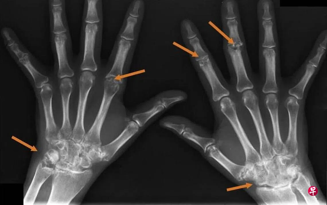
亚历山大医院慢性疾病科主任兼风湿免疫科高级顾问医生陈锦仪接受《活得好》访问时说,医生多数依靠详细的病史采集和身体检查,并通过验血和X光,以诊断是否患风湿性关节炎。
如果关节肿胀,尤其是膝盖,可能需通过针穿活检,抽取关节液的样本进行检验。检验结果可帮助医生区分关节病是属于传染性、退化还是炎症。
Q:骨关节炎是否和类风湿性关节炎类似?
陈医生:两个情况相似在于它们都是关节炎,但起因却截然不同。
类风湿性关节炎是由于身体的免疫系统攻击自己的组织而形成;原发性骨关节炎是由于关节磨损造成。它们的症状和治疗也是非常不同的。
