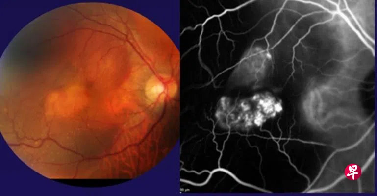
老年黄斑病变是与年龄有关的眼睛病变,可以分为干性与湿性两种类型。新加坡全国眼科中心(SNEC)视网膜科主任兼高级顾问医生张翠明教授指出,息肉状脉络膜血管病变(Polypoidal Choroidal Vasculopathy,简称PCV)是一种慢性退行性眼病,可以视为湿性黄斑变性的一个亚型,但与典型湿性黄斑变性相比,病变差异更大,病程与治疗反应也较不稳定,而且在亚洲群体较常见。
张翠明说:“PCV的病变处会长出异常血管,形成类似葡萄串或珍珠状的息肉。这些异常血管容易出血或渗出液体,累及黄斑,影响中央视力,从而导致视力模糊或出现暗点。”
张翠明指出,目前尚无单一原因能解释PCV在亚洲为何更普遍,眼球结构差异等细节也仍在研究中。不过有研究发现,PCV和某些与黄斑病变共有的遗传变异有关。要降低PCV风险,应留意一些有害因素并做出改变,如避免吸烟,并保持均衡饮食。适量摄取鱼类,以及选择蔬菜丰富和具有眼部保护作用的地中海式饮食,也有助维护眼部健康。
