随着人口老龄化,视网膜疾病的负担正日益增加。本地调查显示,40岁以上群体中,约有5%至8%受到老年黄斑病变(Age-Related Macular Degeneration,简称AMD,也称年龄相关性黄斑病变)的影响。晚期病例的比例虽然较低,但逐年引起关注。
Advanced Eye Clinic & Surgery眼科高级顾问医生张益聪说,干性AMD和“地理萎缩”(Geographic Atrophy,简称GA)主要影响年长者,尤其是60岁以上的老年人。此外,有家族病史或吸烟者风险较高,他建议定期做眼科检查以便尽早发现问题。
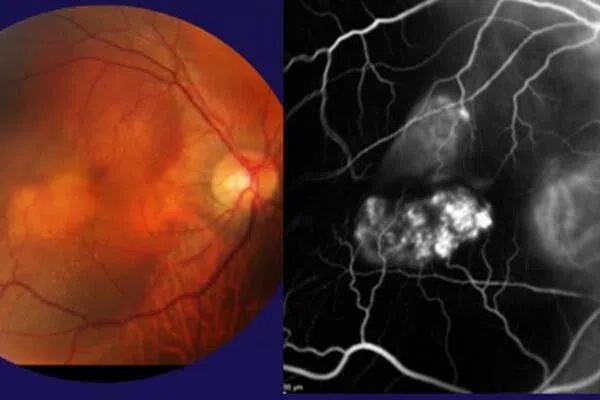
地理萎缩有哪些早期症状
张益聪医生也是杜克—新加坡国立大学医学院眼科学与视觉科学学术临床项目(Duke NUS Ophthalmology & Visual Sciences Academic Clinical Programme)兼任副教授。他解释,干性AMD会逐步损伤视网膜中央的感光细胞,导致视力变得不再清晰。随着病情恶化,视网膜会出现越来越大的细胞缺失区域,称为“地理萎缩”(GA)。一旦萎缩累及黄斑中央,会造成不可逆的中央视力丧失。
张医生指出,GA与一般较普遍的湿性AMD不同,后者的进程快,主要由异常新生血管渗漏引起,现有抗VEGF药物能有效控制。GA则是因视网膜感光细胞随年龄逐渐丧失所致,而这些细胞一旦死亡便无法再生,造成永久性视力损失。由于损伤源自老化与慢性炎症,治疗须针对细胞丧失与炎症等根本原因,而非仅缓解症状。
他说:“GA的早期常见症状包括:在暗处看不清,中央视力模糊,阅读困难,看不清面孔,以及日常活动需要更亮的光线。很多情况下,眼科检查可在症状明显之前发现异常,越早检测越有机会采取措施延缓病情。”
新药助延缓病程
张益聪医生说,Izervay(avacincaptad pegol) 属于治疗GA的新型抗补体注射(anti-complement injection)药物,透过抑制免疫系统中补体途径的过度活化,减少对视网膜的慢性损伤,从而帮助减缓病程。大型临床研究显示,此药在为期两年的治疗与观察中,使GA病情增长减缓约20到30%;长期追踪调查亦见病情持续延缓,且总体安全性良好。
他指出:“这新药物为之前没有疗法的GA带来希望。在本地施行首个抗补体注射,标志着GA治疗进入了一个新阶段。”
适合接受此治疗的患者为确诊GA且萎缩区接近黄斑中心、视力开始下滑的患者。注射通常为每四到八周一次,具体频率视病情而定。不过,张医生提醒,治疗无法恢复已失去的视力,只能减缓进一步恶化,让患者更长时间保有功能性视力。及时检测与尽早治疗,能让患者争取更多看得见的时间。
个案:新治疗带来希望
81岁的奈杰尔(Nigel Mason)是新加坡首名接受GA抗补体注射治疗的患者。他回忆最初症状时说,先是发现阅读和认人变得吃力,尤其在暗处;确诊后一度感到焦虑,担心会失去生活自理能力。
奈杰尔坦言,刚确诊时容易感到孤单无助,但新治疗带来了希望。他说:“我鼓励大家主动寻求帮助,也要依靠家人的支持。与眼科医生讨论检查与治疗选择,充分了解病情,并保持积极心态,会带来很大的不同。”
谈到新疗法对自己的意义,奈杰尔说:“最重要的是能延长我还能看得见的时间,让我继续维持日常生活。我尽量专注于自己还能做的事情上,良好照明和规律作息很有帮助,而维持活力,与他人互动,也让我保持正面心态。”
