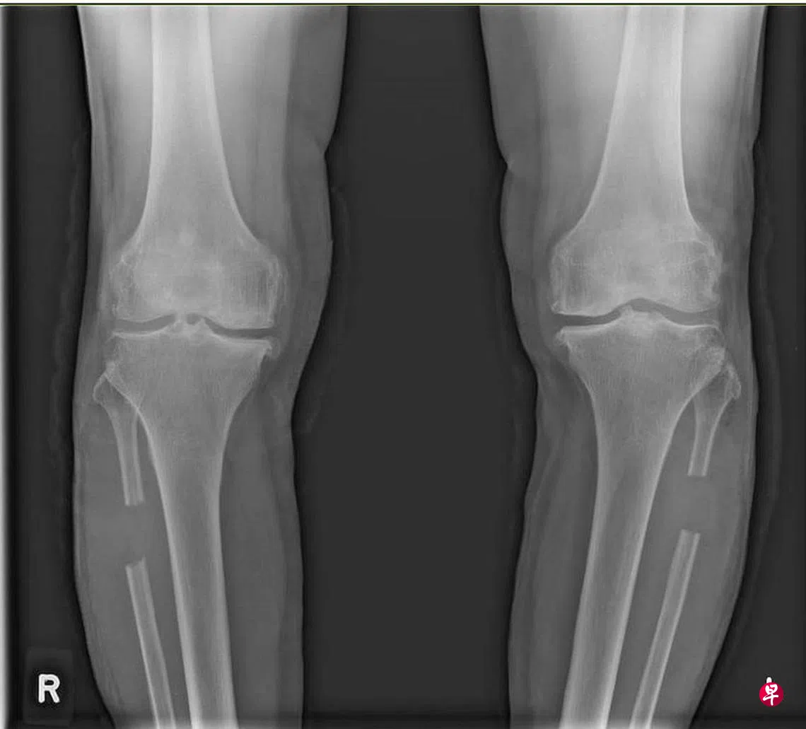
比起部分或全膝关节置换术,越来越多膝骨关节炎病患选择接受这类保住膝盖的手术。新加坡中央医院进行的保膝手术从2020年近50起,翻倍至去年约100起。
把支撑膝关节外侧的小腿腓骨截除约两公分,膝盖关节所承受的压力就能均匀分布于膝关节的内外侧,从而减少内外侧承受过多重量,造成长期磨损而导致疼痛。腓骨无须再次接上,周围的小腿肌肉也能固定住已截断的腓骨。
比起部分或全膝关节置换术,越来越多膝骨关节炎病患选择接受这类保住膝盖的手术。新加坡中央医院进行的保膝手术从2020年近50起,翻倍至去年约100起。
比起部分或全膝关节置换术,越来越多膝骨关节炎病患选择接受这类保住膝盖的手术。新加坡中央医院进行的保膝手术从2020年近50起,翻倍至去年约100起。
把支撑膝关节外侧的小腿腓骨截除约两公分,膝盖关节所承受的压力就能均匀分布于膝关节的内外侧,从而减少内外侧承受过多重量,造成长期磨损而导致疼痛。腓骨无须再次接上,周围的小腿肌肉也能固定住已截断的腓骨。
比起部分或全膝关节置换术,越来越多膝骨关节炎病患选择接受这类保住膝盖的手术。新加坡中央医院进行的保膝手术从2020年近50起,翻倍至去年约100起。