女游客在樟宜机场过境区玩滑梯,结果不慎腿骨折受伤入院,不仅错过航班回国,还得动手术植铁片。樟宜机场集团受询时促请公众遵守安全指南。
这起事件发生在星期一(11月4日)晚上约8时,地点是樟宜机场第四搭客大厦(T4)过境区的滑梯设施。
来自马来西亚的女游客(23岁,金融职员)告诉《联合早报》,当时她与三名好友结伴旅游,趁着搭飞机回返吉隆坡前,体验慕名已久的滑梯设施,不料竟发生意外。
下冲力道硬生生折断腿骨
她本来有意在小红书发布体验心得,因此录下受伤过程。她忆述,当时穿着衣裙和包鞋,首次游玩的体验尚可,但身体在过弯时已有些许擦碰。没想到第二次玩时,相信是鞋子摩擦到滑梯侧壁,导致她右脚“卡”在最后一个弯道,往下冲的力道硬生生折断她的腿骨。
“我当时痛到全身发抖,不断喊救命,附近却没有工作人员。朋友待在高处根本听不到我的呼喊,几分钟后,察觉到不对劲才下来找我。”
女游客说,友人分头找人求助,约15分钟后一名工作人员推着轮椅前来,另一对情侣则搀扶她走到出口处。到机场诊所冰敷、吃了止痛药后,她被送往樟宜综合医院治疗。
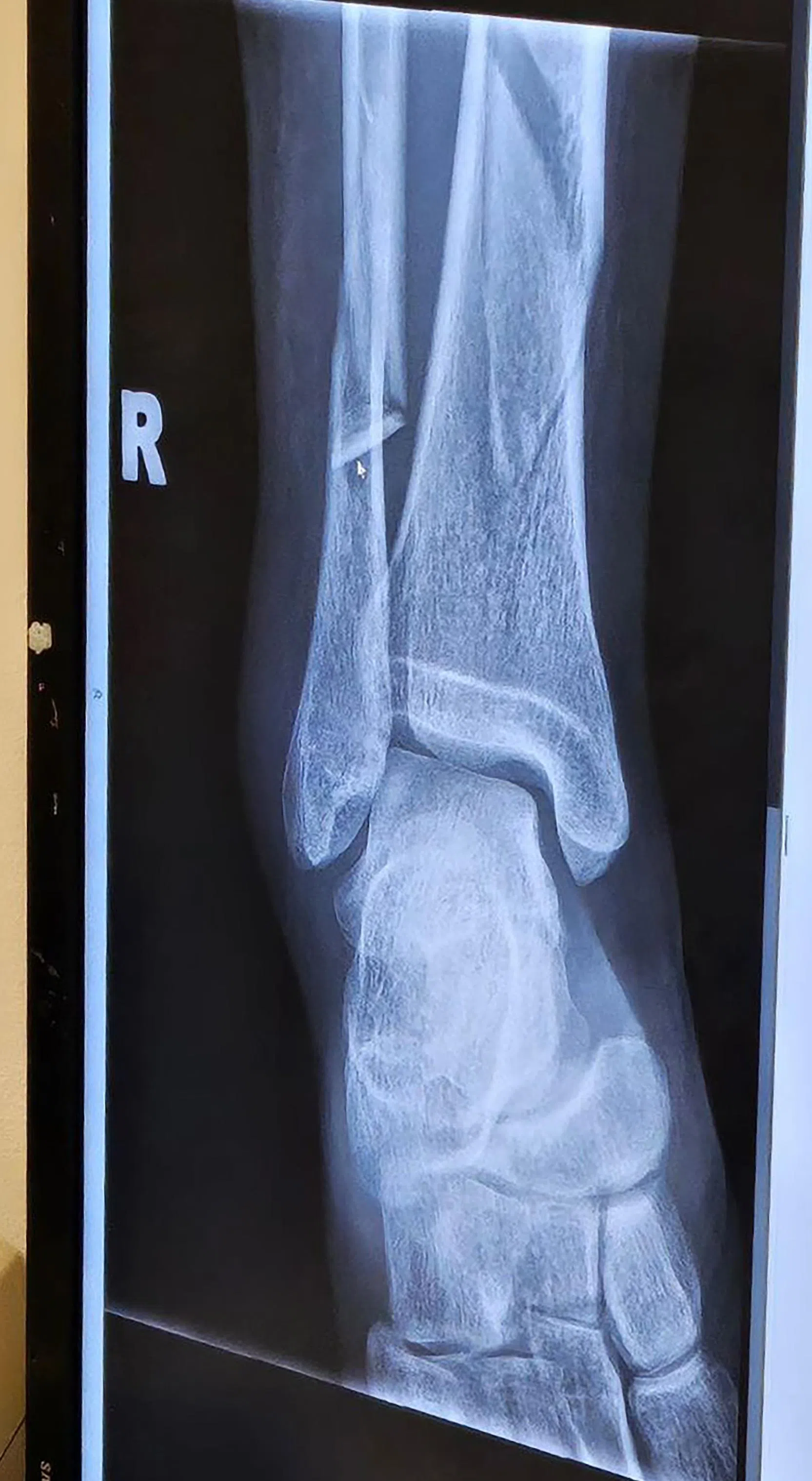
根据X光照片,女游客折断了右腿的一大一小两根腿骨。
她说,前后折腾六个小时才打好石膏,已近凌晨4时。借宿新加坡的亲戚家处理后续事宜,她第二天乘车离境,回到吉隆坡进一步治疗。
女游客指出,当初选择玩滑梯是看到社交媒体上有许多人推荐,但没想到出事,希望借此提醒游客谨慎使用这类设施。
她目前须动手术植入铁片和螺丝固定骨折的腿骨,医药费预估4万令吉(约1万2000新元),外加之前在新加坡花费约500新元。
樟宜机场集团发言人星期六(9日)答复《联合早报》询问时,证实留意到发生在T4滑梯的意外事件,对乘客的遭遇表示遗憾,并指乘客安全是集团的首要考量。
发言人说,滑梯入口处明确标明安全指南,包括何为正确姿势、穿包鞋的重要,以及使用滑梯时应避免穿宽松衣物和裙子,集团建议所有乘客阅读和严格遵守这些指南。“我们衷心祝愿这名乘客早日康复,希望能很快在樟宜机场再次见到她。”
记者在事发后的星期三(6日)到樟宜机场采访,发现玩滑梯的游客热情不减。
南非游客安妮(51岁,董事经理)体验滑梯两次,认为只要遵守安全指南,不至于出现危险事故。
空服员纳齐亚(26岁)说,虽曾听闻有人因玩T4滑梯而受伤,但她并不担心。“只要双脚放直顺势滑下就不会有意外。”
陈姓教育工作者(42岁)则认为,若有工作人员在旁督导,或许会更好。
(黄良辉支援报道)
