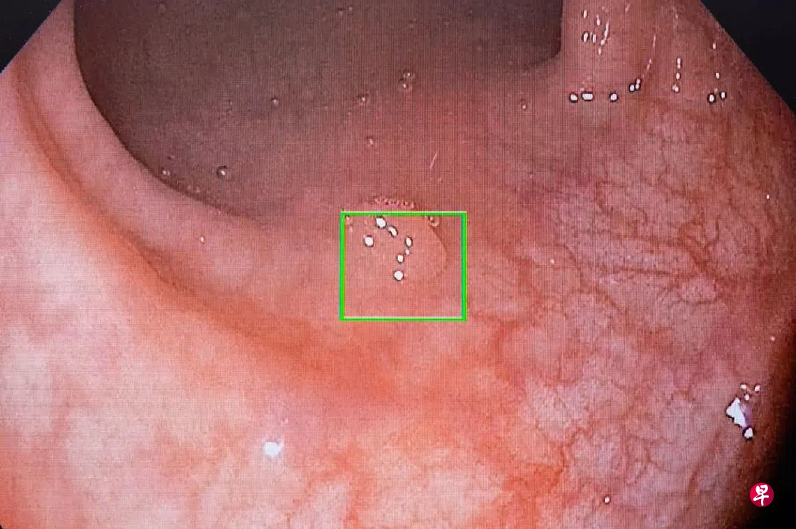
(早报讯)又小又平的息肉在大肠内虽然看起来不起眼,但随时可能发展成恶性肿瘤,引起大肠癌。尽管如此,约25%的息肉在结肠镜检查中不会被检测到。盛港综合医院采用人工智能系统,帮助医生更准确检测病患的大肠。
盛港综合医院和美国医疗科技公司美敦力(Medtronic)星期二(14日)签署合作谅解备忘录,通过人工智能提高结肠镜检查(colonoscopy)检测息肉(polyps)的准确性。
息肉指体内器官异常的组织生长,多数是良性但也可能发生癌变。盛港综合医院外科高级顾问医生陈建宏医生说,大肠癌是我国最常见的癌症之一,但若及时检测可以避免病发。
盛港综合医院从2021年7月开始试用美敦力的人工智能系统,一年内展开约4000起结肠镜检查。通过系统,医生在进行结肠镜检查时检测和摘取的息肉增加约6%,多数是肉眼难以辨认的息肉。系统是根据全球1300万个息肉照片进行分析和学习,随着越来越多的使用会增加检测率。
盛港综合医院和美敦力也将成立亚太区首个人工智能结肠镜检查中心,促进区域在相关方面的培训和交流。
陈建宏医生说,人工智能大有潜力,日后更能预测息肉是良性或恶性,让医生只摘取恶性息肉。
