本地一项医学研究发现,孩童误吞异物后,在无须动手术的情况下,超过八成会在两周内通过消化道排出体外,最长不超过37天。硬币和玩具是孩童最容易误吞的异物。
新加坡国立大学杨潞龄医学院的学生和国大医院与竹脚妇幼医院的临床医生合作,共收集2122名在2015年1月1日至2016年12月31日,因误吞异物而送入急诊室的18岁及以下病患的资料。团队之后从中筛选350名孩童进行随访,以评估他们体内异物通过消化道排出体外的时间。
在这350名孩童中,196人为男性,154人为女性,他们的年龄中位数是4.35岁。七成的孩童在六岁以下,其中,一至两岁的孩童人数最多,在350人中占16%。
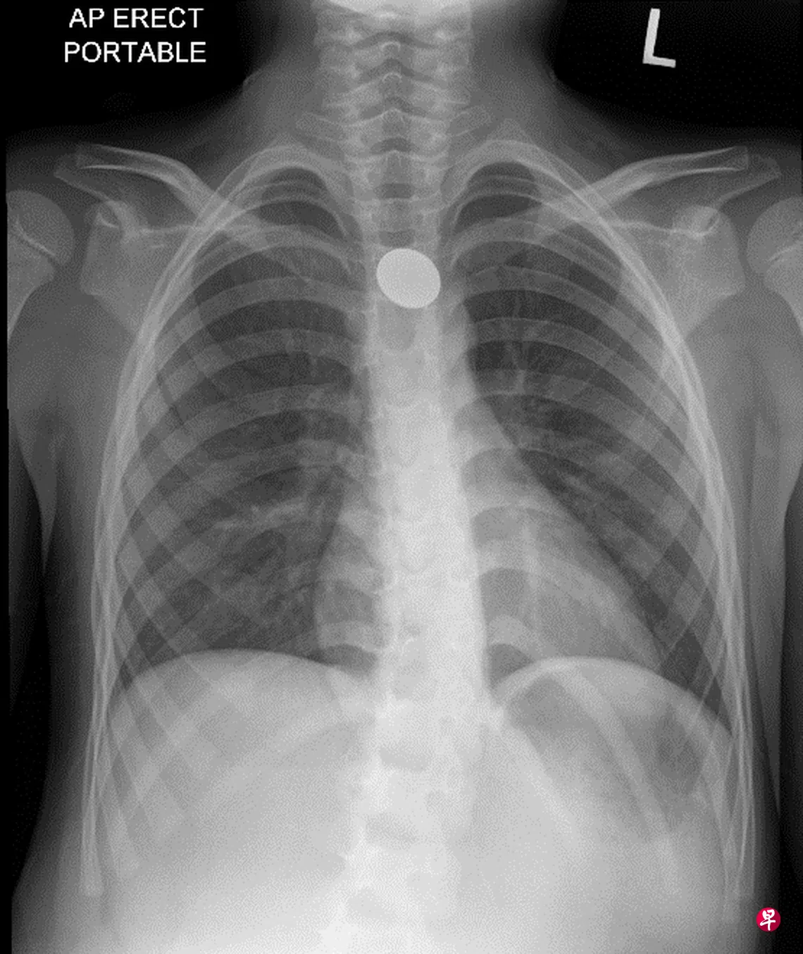
研究结果显示,硬币是最常见的误吞物,占41%,其次是玩具(27%)。超过80%的异物在14天内排出体外,最长的则需要37天(硬币)。根据研究,电池最多七天排出体外,其他不透射线(radiopaque)的异物,最长要23天。
研究指出,各种异物通过消化道的时间存在显著差异,而即使是同一种异物,不同孩童的情况也各不相同。有鉴于此,如果没有出现临床症状以及肠梗阻、腹膜炎或腹痛等危险信号,合理的做法是等待,而等待时间以各异物类型留在体内的最长时间为参考,以观察它是否能自然排出体外。
异物可分为低风险(硬币、珠子或弹珠)和高风险(电池、多个磁铁或尖锐物体)两组,这个分类取决于吞下异物后可导致的潜在并发症。
绝大多数的异物是无害的,但有些会导致严重的并发症,像是黏膜溃疡、穿孔等。异物若在食道移位也可导致腹膜炎、纵隔炎、气胸、气腹膜炎、肺炎或其他呼吸道疾病。
