芽笼综合诊疗所计划从3月起,试用一款借助人工智能的胸部X光影像技术,预计可将医生发现胸片异常的时间缩短一半。
国立健保集团星期二(2月25日)宣布,属下九家综合诊疗所,将引入新型X光影像技术,进一步缩短病人的等候时间,并提高诊治效率。芽笼综合诊疗所将率先在今年3月至8月试用这项新技术,国立健保集团评估试用效果后,料逐步推广至其他八家综合诊疗所。
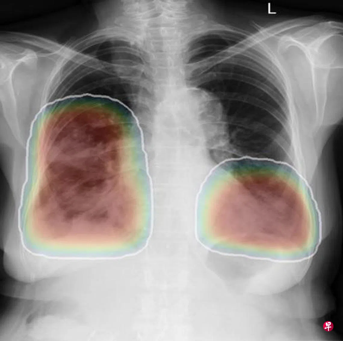
胸部X光是医生常用于检查胸腔及其周围器官状况的诊断方法,但病人通常要等上一到一个半小时,才能得知检查结果。这项利用人工智能的X光诊断技术,可根据影像异常的可能性高低,对病人进行排序,从而优先处理病情较为严重的个案,缩短等待时间至原来的一半。
据了解,芽笼综合诊疗所每月约有600名病人需要接受胸部X光检查。由于只有部分病人的X光报告会出现异常,新技术可优化医疗资源,更好地为病人服务。
